Corticosteroid induced, HHV-8 positive Kaposi’s sarcoma in a non-HIV elderly patient
DOI:
https://doi.org/10.5915/44-1-9317Keywords:
Kaposi sarcoma, corticosteroids, HHV-8, HIV/AIDSAbstract
DOI: http://dx.doi.org/10.5915/44-1-9317
Kaposi’s sarcoma (KS) was first described in 1872 by Moritz Kaposi. In 1994, Chang et al. first identified DNA sequences corresponding to human herpesvirus-8 (HHV-8) in AIDS-associated Kaposi sarcoma biopsies. It is now believed that presence of HHV-8 is necessary but not sufficient to cause KS. Other factors like immunosuppressive therapy also play a role. We describe an HIV-negative elderly patient who developed KS of skin and mucous membrane after prolonged use of corticosteroids for knee pain. The patient was positive for HHV-8.
Downloads
Additional Files
- Figure 1 Discrete, violaceous lesions of Kaposi’s sarcoma on the arm and thigh of a Kashmiri male
- Figure 2 Typical lesions of Kaposi’s sarcoma on the lower limb of an elderly Kashmiri male, showing confluence.
- Figure 3 Violaceous nodules and plaques of Kaposi’s sarcoma. Note also edema of the hand.
- Figure 4 Characteristic patches of Kaposi’s sarcoma on the hard and soft palate of an HIV-negative elderly patient due to corticosteroids.
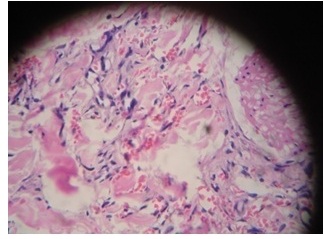
- Figure 5 Micro-section from plaque shows dilated, irregular new vessels and pre-existing vessels in the dermis. Also seen are few scattered spindle cells (H & E× 400).
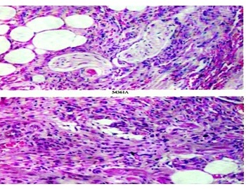
- Figure 6 Micro-section from nodule shows fascicles of spindle cells in the dermis and superficial subcutis.
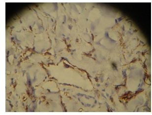
- Figure 7 Immunohistochemistry. The section immune-stained for CD31, highlights tumor cells in the vessels and in the stroma.
Published
2012-08-15
Issue
Section
Case Reports
License
Authors who publish with this journal agree to the following terms:- Authors retain copyright and grant the journal right of first publication with the work simultaneously licensed under a Creative Commons Attribution License that allows others to share the work with an acknowledgement of the work's authorship and initial publication in this journal.
- Authors are able to enter into separate, additional contractual arrangements for the non-exclusive distribution of the journal's published version of the work (e.g., post it to an institutional repository or publish it in a book), with an acknowledgement of its initial publication in this journal.
- Authors are permitted and encouraged to post their work online (e.g., in institutional repositories or on their website) prior to and during the submission process, as it can lead to productive exchanges, as well as earlier and greater citation of published work (See The Effect of Open Access).