Achalasia Cardia of Infancy: Report of Two Cases
DOI:
https://doi.org/10.5915/44-1-9260Keywords:
Achalasia cardia, InfantAbstract
DOI: http://dx.doi.org/10.5915/44-1-9260
Achalasia cardia is a neuromuscular disorder of unknown etiology involving the body of the esophagus and lower esophageal sphincter. It is characterized by abnormal esophageal motility and failure of relaxation of lower esophageal sphincter. It usually affects the patients between the age of 30 and 60 years. It is unusual in childhood and is extremely rare in infants. We report two cases of achalasia cardia in the infants. Both the cases were treated with open Heller’s esophagocardiomyotomy with anti-reflux procedure.
Downloads
Additional Files
- Case 1(b)- Anterior-posterior view of Barium esophagogram showing Bird's Beak appearance
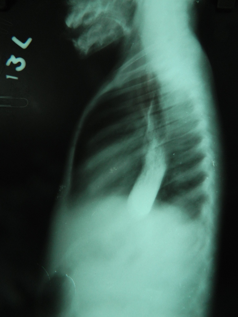
- Case 1(a)- Lateral view of Barium esophagogram
- Case 1(C) - Immediate preoperative picture of the baby
- case 1d- Left subcostal incision is made
- case 1e- Mobilization of cardia and lower end of esophagus
- case 1f- The arrow shows dilated part of the esophagus
- case 1g- Heller's esophagocardiomyotomy
- case 1h- The arrow shows protrusion of esophageal mucosa
- case 1i- Toupet post. partial fundoplication
- Case 1(J) - Picture of the baby before discharge
- case 2- Anterior-posterior view of the Barium esophagogram showing typical Bird's beak appearance
Published
2013-04-10
Issue
Section
Case Reports
License
Authors who publish with this journal agree to the following terms:- Authors retain copyright and grant the journal right of first publication with the work simultaneously licensed under a Creative Commons Attribution License that allows others to share the work with an acknowledgement of the work's authorship and initial publication in this journal.
- Authors are able to enter into separate, additional contractual arrangements for the non-exclusive distribution of the journal's published version of the work (e.g., post it to an institutional repository or publish it in a book), with an acknowledgement of its initial publication in this journal.
- Authors are permitted and encouraged to post their work online (e.g., in institutional repositories or on their website) prior to and during the submission process, as it can lead to productive exchanges, as well as earlier and greater citation of published work (See The Effect of Open Access).